犬歯 八重歯 違い

犬歯 と 八重歯 の違いって ことくらべ

犬歯 と 八重歯 の違いって ことくらべ

日本人とドイツ人 歯並びの違い

日本人とドイツ人 歯並びの違い

犬歯 と 八重歯 の違いって ことくらべ

犬歯 と 八重歯 の違いって ことくらべ

八重歯はチャームポイント 矯正歯科医が教える八重歯の全て 知りたいことはココにある 歯の知りたい

八重歯はチャームポイント 矯正歯科医が教える八重歯の全て 知りたいことはココにある 歯の知りたい

乱杭歯の八重歯はセラミック矯正で改善可能 美歯コラム 歯科医師監修 南青山矯正歯科 審美歯科

乱杭歯の八重歯はセラミック矯正で改善可能 美歯コラム 歯科医師監修 南青山矯正歯科 審美歯科

犬歯の重要性 欠損時のインプラント治療について 五十嵐歯科医院

犬歯の重要性 欠損時のインプラント治療について 五十嵐歯科医院

犬歯の重要性 欠損時のインプラント治療について 五十嵐歯科医院

犬歯 と 八重歯 の違いって ことくらべ

犬歯 と 八重歯 の違いって ことくらべ

八重歯 の歯科矯正をおすすめする理由 葛西モア矯正歯科 葛西駅から徒歩0分 西葛西駅も徒歩圏内 江戸川区の矯正治療専門歯科医院

八重歯 の歯科矯正をおすすめする理由 葛西モア矯正歯科 葛西駅から徒歩0分 西葛西駅も徒歩圏内 江戸川区の矯正治療専門歯科医院

犬歯と八重歯の違いを知っていますか 噛み合わせに影響する犬歯の役割 歯 インプラントと美容のメディアhealthy Life

犬歯と八重歯の違いを知っていますか 噛み合わせに影響する犬歯の役割 歯 インプラントと美容のメディアhealthy Life

八重歯 は実は不正咬合の一種 大分インビザライン情報

八重歯 は実は不正咬合の一種 大分インビザライン情報

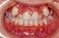
八重歯と犬歯の違いとは 尖って出ていたら八重歯ってなりがちだけど 大人矯正ろぐ

八重歯と犬歯の違いとは 尖って出ていたら八重歯ってなりがちだけど 大人矯正ろぐ

症例 歯の凸凹 叢生 と八重歯の犬歯を抜歯しての矯正治療例 コラム 公式 K Braces矯正歯科原宿駅前

症例 歯の凸凹 叢生 と八重歯の犬歯を抜歯しての矯正治療例 コラム 公式 K Braces矯正歯科原宿駅前

八重歯 ガタガタ でこぼこ を抜かずに矯正したい 白数デンタルオフィス 噛み合わせを考えたインプラントと矯正歯科

八重歯 ガタガタ でこぼこ を抜かずに矯正したい 白数デンタルオフィス 噛み合わせを考えたインプラントと矯正歯科

犬歯は異性を惹きつけるために進化した 歯並びと性的魅力の奥深い関係 最新研究 2016年11月30日 エキサイトニュース

犬歯は異性を惹きつけるために進化した 歯並びと性的魅力の奥深い関係 最新研究 2016年11月30日 エキサイトニュース

外国人に あぁ 残念 と思われる日本人女性の意外な特徴 Naverまとめ 矯正歯科医 矯正歯科情報 医療情報と グルメ 気になる話題

外国人に あぁ 残念 と思われる日本人女性の意外な特徴 Naverまとめ 矯正歯科医 矯正歯科情報 医療情報と グルメ 気になる話題

矯正治療症例 都城市の矯正 審美治療はハートデンタルクリニックへ

矯正治療症例 都城市の矯正 審美治療はハートデンタルクリニックへ

八重歯はマウスピース矯正で治せるの 南青山矯正歯科クリニック

八重歯はマウスピース矯正で治せるの 南青山矯正歯科クリニック

プレスリリース紹介 歯並びが悪いと 3分磨いても歯垢は落とし切れない 歯科医療従事者のための総合情報サイト Dentwave Com

プレスリリース紹介 歯並びが悪いと 3分磨いても歯垢は落とし切れない 歯科医療従事者のための総合情報サイト Dentwave Com

八重歯と犬歯 蒼桜色

八重歯と犬歯 蒼桜色

この差 八重歯がある人 と 八重歯がない人 の差 Minnano Mag みんなの みんなと企業と社会がつながるサイト

この差 八重歯がある人 と 八重歯がない人 の差 Minnano Mag みんなの みんなと企業と社会がつながるサイト

八重歯と犬歯の違いとは 尖って出ていたら八重歯ってなりがちだけど 大人矯正ろぐ

八重歯と犬歯の違いとは 尖って出ていたら八重歯ってなりがちだけど 大人矯正ろぐ

八重歯 乱ぐい歯 でお悩みの方 矯正でキレイに治ります

八重歯 乱ぐい歯 でお悩みの方 矯正でキレイに治ります

八重歯 ガタガタ でこぼこ を抜かずに矯正したい 白数デンタルオフィス 噛み合わせを考えたインプラントと矯正歯科

八重歯 ガタガタ でこぼこ を抜かずに矯正したい 白数デンタルオフィス 噛み合わせを考えたインプラントと矯正歯科

八重歯の歯並びが悪い方と矯正方法 ザ ホワイトデンタルクリニック

八重歯の歯並びが悪い方と矯正方法 ザ ホワイトデンタルクリニック

Https Encrypted Tbn0 Gstatic Com Images Q Tbn 3aand9gcrl1wnzr9d58ajompimvz6wh0v 79uckiexgwf0ij 0llpqxkjp Usqp Cau

Https Encrypted Tbn0 Gstatic Com Images Q Tbn 3aand9gcrl1wnzr9d58ajompimvz6wh0v 79uckiexgwf0ij 0llpqxkjp Usqp Cau

八重歯の原因は遺伝 八重歯の正しい知識を紹介します 新板橋 板橋駅の歯医者 いしかわ歯科 平日夜9時まで

八重歯の原因は遺伝 八重歯の正しい知識を紹介します 新板橋 板橋駅の歯医者 いしかわ歯科 平日夜9時まで

海外では八重歯はng 日本と海外の歯科治療に対する意識の違い 歯 インプラントと美容のメディアhealthy Life

海外では八重歯はng 日本と海外の歯科治療に対する意識の違い 歯 インプラントと美容のメディアhealthy Life

八重歯ってどうですか 上尾の歯科 北上尾歯科院長ブログ

八重歯ってどうですか 上尾の歯科 北上尾歯科院長ブログ

症例 歯の凸凹 叢生 と八重歯の犬歯を抜歯しての矯正治療例 コラム 公式 K Braces矯正歯科原宿駅前

症例 歯の凸凹 叢生 と八重歯の犬歯を抜歯しての矯正治療例 コラム 公式 K Braces矯正歯科原宿駅前

八重歯を抜かないで 八重歯の治療について お知らせ ブログ 江戸川区一之江の歯並び専門のステラ矯正歯科

八重歯を抜かないで 八重歯の治療について お知らせ ブログ 江戸川区一之江の歯並び専門のステラ矯正歯科

がんばってくれたから奇麗になった 浦安市の歯医者 新浦安駅のローズタウン歯科クリニック

がんばってくれたから奇麗になった 浦安市の歯医者 新浦安駅のローズタウン歯科クリニック

世界の 八重歯 に対する考え方と日本

世界の 八重歯 に対する考え方と日本

日本人とドイツ人 歯並びの違い ドイツ生活情報満載 ドイツニュースダイジェスト

日本人とドイツ人 歯並びの違い ドイツ生活情報満載 ドイツニュースダイジェスト

百田夏菜子 八重歯矯正でどう変わった 画像比較で変化を調査 サイサリス ブログ

百田夏菜子 八重歯矯正でどう変わった 画像比較で変化を調査 サイサリス ブログ

八重歯があるとないでは顔の印象は違いますか 自分自身も人からの印象も大き Yahoo 知恵袋

八重歯があるとないでは顔の印象は違いますか 自分自身も人からの印象も大き Yahoo 知恵袋

咬合誘導

咬合誘導

八重歯の矯正治療 犬歯 糸切り歯 はとても大切な歯です 恵比寿ますだ矯正歯科 院長ブログ

八重歯の矯正治療 犬歯 糸切り歯 はとても大切な歯です 恵比寿ますだ矯正歯科 院長ブログ

部分矯正 山口県 山陽小野田市の公園通り歯科 予防歯科 矯正治療

部分矯正 山口県 山陽小野田市の公園通り歯科 予防歯科 矯正治療

歯科医師監修 犬歯と八重歯の違いとは とがった歯は八重歯ではない 医科歯科 Com コラム

歯科医師監修 犬歯と八重歯の違いとは とがった歯は八重歯ではない 医科歯科 Com コラム

八重歯がカワイイ芸能人35選 芸能ジャンル別まとめ らじかるぽすと

八重歯がカワイイ芸能人35選 芸能ジャンル別まとめ らじかるぽすと

八重歯と犬歯の違いとは 尖って出ていたら八重歯ってなりがちだけど 大人矯正ろぐ

八重歯と犬歯の違いとは 尖って出ていたら八重歯ってなりがちだけど 大人矯正ろぐ

ガタガタの八重歯は抜くor残す 気になる判断基準と矯正方法 歯列矯正の基礎知識コラム 東京都中央区でマウスピース矯正 インビザライン をお探しなら日本橋駅すぐ エムアンドアソシエイツ矯正歯科

ガタガタの八重歯は抜くor残す 気になる判断基準と矯正方法 歯列矯正の基礎知識コラム 東京都中央区でマウスピース矯正 インビザライン をお探しなら日本橋駅すぐ エムアンドアソシエイツ矯正歯科

2020年更新 歯科矯正で失敗しないために マウスピース矯正 インビザライン のはじめ方 完全版 ドクター海老沢が教える歯の話

2020年更新 歯科矯正で失敗しないために マウスピース矯正 インビザライン のはじめ方 完全版 ドクター海老沢が教える歯の話

八重歯は歯の個性 勘違いしがちな 犬歯 との違いと八重歯ができる理由 みんなの歯の相談窓口 おくちプラス

八重歯は歯の個性 勘違いしがちな 犬歯 との違いと八重歯ができる理由 みんなの歯の相談窓口 おくちプラス

清村矯正歯科

清村矯正歯科

歯列矯正歯科 前歯部分矯正 非抜歯歯並び治療 ほり歯科クリニック

歯列矯正歯科 前歯部分矯正 非抜歯歯並び治療 ほり歯科クリニック

永久歯 生える本数 生えかわる時期と順番は 乳歯との見分け方や 永久歯欠損などの対処 治療法も Hugkum 小学館公式

永久歯 生える本数 生えかわる時期と順番は 乳歯との見分け方や 永久歯欠損などの対処 治療法も Hugkum 小学館公式

叢生 乱ぐい 八重歯 みやび矯正歯科医院 Part 2

叢生 乱ぐい 八重歯 みやび矯正歯科医院 Part 2

新木優子 歯並びや歯茎が激変 現在までの画像や八重歯の消失説も比較調査 話題に困る日々が無くなるブログ

新木優子 歯並びや歯茎が激変 現在までの画像や八重歯の消失説も比較調査 話題に困る日々が無くなるブログ

Https Encrypted Tbn0 Gstatic Com Images Q Tbn 3aand9gcqrk2n1gheaa406o 9kqrkuvqseynyjiep03h8pmndv6luds7u8 Usqp Cau

Https Encrypted Tbn0 Gstatic Com Images Q Tbn 3aand9gcqrk2n1gheaa406o 9kqrkuvqseynyjiep03h8pmndv6luds7u8 Usqp Cau

Source : pinterest.com