胃 鳥肌

鳥肌胃炎とピロリ菌 について 東京都世田谷区桜新町 大腸内視鏡検査 肛門科

鳥肌胃炎とピロリ菌 について 東京都世田谷区桜新町 大腸内視鏡検査 肛門科

Gastropedia ガストロペディア 消化器にかかわる医療関係者のために

Gastropedia ガストロペディア 消化器にかかわる医療関係者のために

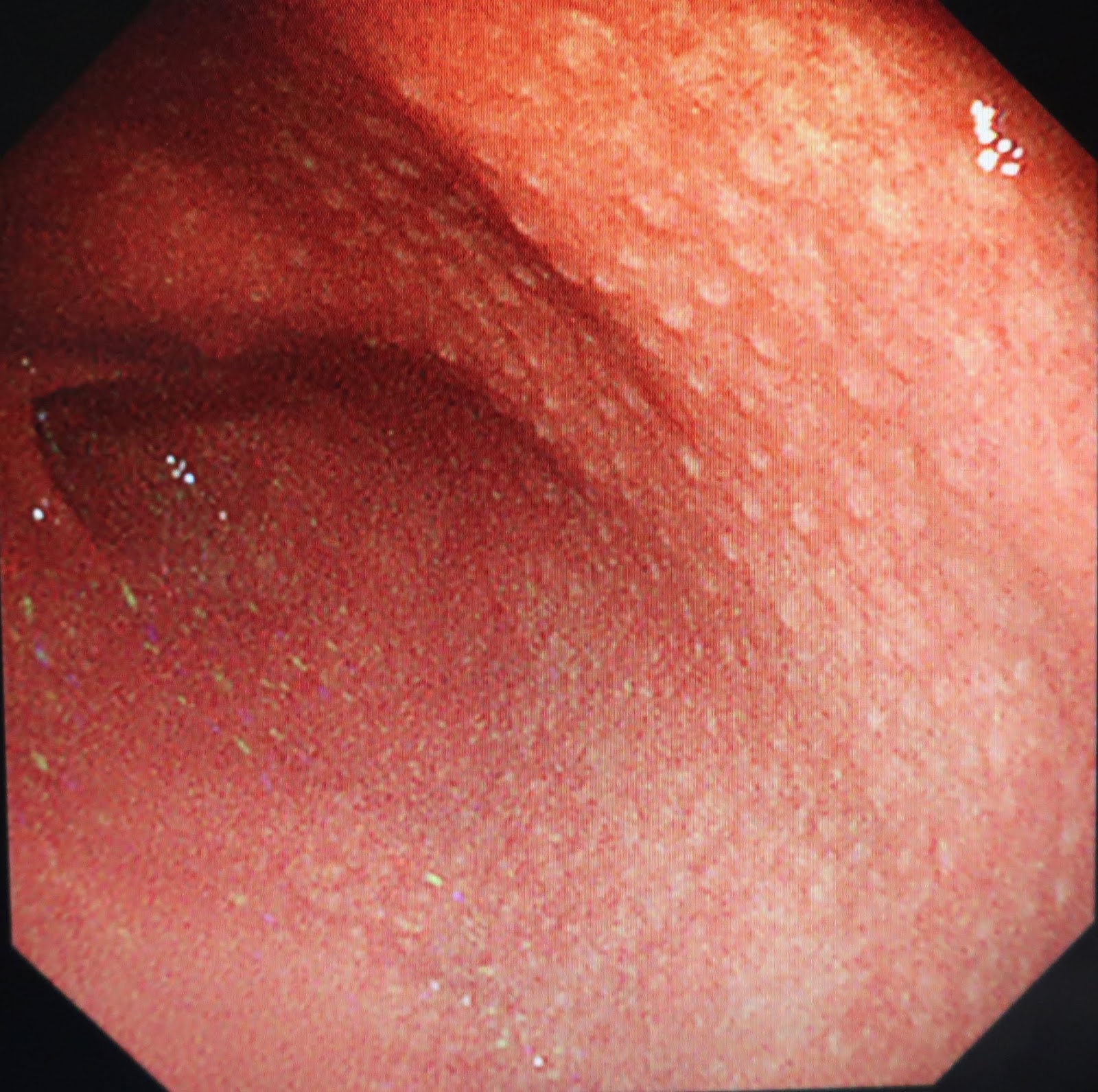
鳥肌胃炎 胃内視鏡 胃カメラ

鳥肌胃炎 胃内視鏡 胃カメラ

鳥肌胃炎とピロリ菌 について 東京都世田谷区桜新町 大腸内視鏡検査 肛門科

鳥肌胃炎とピロリ菌 について 東京都世田谷区桜新町 大腸内視鏡検査 肛門科

30歳以上のピロリ菌による胃 鳥肌胃炎 地方内視鏡医のカメラ画像

30歳以上のピロリ菌による胃 鳥肌胃炎 地方内視鏡医のカメラ画像

鳥肌胃炎とピロリ菌 について 東京都世田谷区桜新町 大腸内視鏡検査 肛門科

鳥肌胃炎とピロリ菌 について 東京都世田谷区桜新町 大腸内視鏡検査 肛門科

鳥肌胃炎とピロリ菌 について 東京都世田谷区桜新町 大腸内視鏡検査 肛門科

鳥肌胃炎 胃内視鏡 胃カメラ

鳥肌胃炎 胃内視鏡 胃カメラ

鳥肌胃炎のお話 西葛西消化器内科クリニック

鳥肌胃炎のお話 西葛西消化器内科クリニック

ピロリ菌と胃がん 病気の話 中野胃腸病院 中野胃腸病院 健診センターなかの 訪問看護ステーションなかの 医療法人 社団 以心会

ピロリ菌と胃がん 病気の話 中野胃腸病院 中野胃腸病院 健診センターなかの 訪問看護ステーションなかの 医療法人 社団 以心会

鳥肌胃炎のお話 西葛西消化器内科クリニック

鳥肌胃炎のお話 西葛西消化器内科クリニック

30歳以上のピロリ菌による胃 鳥肌胃炎 地方内視鏡医のカメラ画像

30歳以上のピロリ菌による胃 鳥肌胃炎 地方内視鏡医のカメラ画像

鳥肌胃炎とは 岩国の内科 胃腸科 消化器内視鏡科 肛門科 甲状腺科 痛くない胃 カメラ 大腸内視鏡検査 ポリープ 血便 胃がん検査lやましたクリニック

鳥肌胃炎とは 岩国の内科 胃腸科 消化器内視鏡科 肛門科 甲状腺科 痛くない胃 カメラ 大腸内視鏡検査 ポリープ 血便 胃がん検査lやましたクリニック

Gastropedia ガストロペディア 消化器にかかわる医療関係者のために

Gastropedia ガストロペディア 消化器にかかわる医療関係者のために

30歳以上のピロリ菌による胃 鳥肌胃炎 地方内視鏡医のカメラ画像

30歳以上のピロリ菌による胃 鳥肌胃炎 地方内視鏡医のカメラ画像

ピロリ菌がいなくなっても そのピロリ菌によって荒らされた胃は 胃癌のリスクがあるんですか 善通寺 丸亀で内科病院といえば ふじた医院 多度津 琴平 まんのう 高松など香川県だけでなく四国全域からも来ていただいています

ピロリ菌がいなくなっても そのピロリ菌によって荒らされた胃は 胃癌のリスクがあるんですか 善通寺 丸亀で内科病院といえば ふじた医院 多度津 琴平 まんのう 高松など香川県だけでなく四国全域からも来ていただいています

Gastropedia ガストロペディア 消化器にかかわる医療関係者のために

Gastropedia ガストロペディア 消化器にかかわる医療関係者のために

胃内視鏡検査 症例紹介 みらい胃 大腸内視鏡クリニック

胃内視鏡検査 症例紹介 みらい胃 大腸内視鏡クリニック

内視鏡画像 佐賀県基山の胃腸内科 さかい胃腸 内視鏡内科クリニック

内視鏡画像 佐賀県基山の胃腸内科 さかい胃腸 内視鏡内科クリニック

鳥肌胃炎 Gooseflesh Like Gastritis 胃と腸 47巻9号 医書 Jp

鳥肌胃炎 Gooseflesh Like Gastritis 胃と腸 47巻9号 医書 Jp

胃カメラでわかる病気 内視鏡 堺 ましも内科 眼科クリニック 胃カメラ 大腸カメラ

胃カメラでわかる病気 内視鏡 堺 ましも内科 眼科クリニック 胃カメラ 大腸カメラ

鳥肌胃炎 濾胞性胃炎 Nodular Gastritis 胃生検の小部屋 Cottage For Gastric Biopsy

鳥肌胃炎 濾胞性胃炎 Nodular Gastritis 胃生検の小部屋 Cottage For Gastric Biopsy

ピロリ菌による強い炎症と胃がん 大腸内視鏡 胃カメラ I 桐山クリニック 高崎 群馬 埼玉

ピロリ菌による強い炎症と胃がん 大腸内視鏡 胃カメラ I 桐山クリニック 高崎 群馬 埼玉

鳥肌胃炎とピロリ菌 とよない院長ブログ

鳥肌胃炎とピロリ菌 とよない院長ブログ

鳥肌胃炎 胃内視鏡 胃カメラ

鳥肌胃炎 胃内視鏡 胃カメラ

沒有胃腸鏡的體檢都是耍流氓 體檢沒事 25歲姑娘查出胃癌 每日頭條

沒有胃腸鏡的體檢都是耍流氓 體檢沒事 25歲姑娘查出胃癌 每日頭條

若者も胃カメラ受診を ピロリ菌と鳥肌胃炎 沖縄県医師会編 命ぐすい耳ぐすい 1119 沖縄タイムス プラス ニュース 沖縄タイムス プラス

若者も胃カメラ受診を ピロリ菌と鳥肌胃炎 沖縄県医師会編 命ぐすい耳ぐすい 1119 沖縄タイムス プラス ニュース 沖縄タイムス プラス

こ て る 日 記 若くてきれいな女性に出来やすい ものとは

こ て る 日 記 若くてきれいな女性に出来やすい ものとは

ピロリ菌 品川区旗の台 内科 消化器内科 西川医院 内視鏡検査 超音波検査 メタボリックシンドローム

ピロリ菌 品川区旗の台 内科 消化器内科 西川医院 内視鏡検査 超音波検査 メタボリックシンドローム

10代前半と70代の鳥肌胃炎 地方内視鏡医のカメラ画像

10代前半と70代の鳥肌胃炎 地方内視鏡医のカメラ画像

鳥肌胃炎とは 岩国の内科 胃腸科 消化器内視鏡科 肛門科 甲状腺科 痛くない胃 カメラ 大腸内視鏡検査 ポリープ 血便 胃がん検査lやましたクリニック

鳥肌胃炎とは 岩国の内科 胃腸科 消化器内視鏡科 肛門科 甲状腺科 痛くない胃 カメラ 大腸内視鏡検査 ポリープ 血便 胃がん検査lやましたクリニック

鳥肌胃炎 胃内視鏡 胃カメラ

鳥肌胃炎 胃内視鏡 胃カメラ

鳥肌胃炎 Hashtag On Twitter

鳥肌胃炎 Hashtag On Twitter

胃を酷使していませんか 胃が健康だとすべてがうまくいく 5 健康生活

胃を酷使していませんか 胃が健康だとすべてがうまくいく 5 健康生活

胃カメラでわかる病気 内視鏡 堺 ましも内科 眼科クリニック 胃カメラ 大腸カメラ

胃カメラでわかる病気 内視鏡 堺 ましも内科 眼科クリニック 胃カメラ 大腸カメラ

ピロリ菌がいないのに鳥肌胃炎 ピロリ菌陰性の慢性胃炎 鳥肌胃炎 Maltリンパ腫 日本抗加齢医学会専門医 江田 証 医学博士の アンチエイジング日誌

ピロリ菌がいないのに鳥肌胃炎 ピロリ菌陰性の慢性胃炎 鳥肌胃炎 Maltリンパ腫 日本抗加齢医学会専門医 江田 証 医学博士の アンチエイジング日誌

ヘリコバクター ピロリ感染胃炎 鳥肌 消化器内視鏡専門医による胃カメラを行います 胃炎 健康 専門医

ヘリコバクター ピロリ感染胃炎 鳥肌 消化器内視鏡専門医による胃カメラを行います 胃炎 健康 専門医

胃炎的分类 资讯 华夏病理网

胃炎的分类 资讯 华夏病理网

鳥肌胃炎 まつおか内視鏡内科

鳥肌胃炎 まつおか内視鏡内科

内視鏡について 内視鏡センター 大阪守口の診療所 医療法人 橋本クリニック

内視鏡について 内視鏡センター 大阪守口の診療所 医療法人 橋本クリニック

沒有胃腸鏡的體檢都是耍流氓 體檢沒事 25歲姑娘查出胃癌 每日頭條

沒有胃腸鏡的體檢都是耍流氓 體檢沒事 25歲姑娘查出胃癌 每日頭條

鳥肌胃炎 まつおか内視鏡内科

鳥肌胃炎 まつおか内視鏡内科

沒有胃腸鏡的體檢都是耍流氓 體檢沒事 25歲姑娘查出胃癌 每日頭條

沒有胃腸鏡的體檢都是耍流氓 體檢沒事 25歲姑娘查出胃癌 每日頭條

保健砂鴿子斑鳩鳥用精品高鈣高磷紅土保健砂顆粒鳥食鴿糧五斤包郵

保健砂鴿子斑鳩鳥用精品高鈣高磷紅土保健砂顆粒鳥食鴿糧五斤包郵

鳥肌胃炎とは 岩国の内科 胃腸科 消化器内視鏡科 肛門科 甲状腺科 痛くない胃 カメラ 大腸内視鏡検査 ポリープ 血便 胃がん検査lやましたクリニック

鳥肌胃炎とは 岩国の内科 胃腸科 消化器内視鏡科 肛門科 甲状腺科 痛くない胃 カメラ 大腸内視鏡検査 ポリープ 血便 胃がん検査lやましたクリニック

ピロリ菌との関係も 鳥肌胃炎とは 症状や胃がんのリスクについて 健康ぴた

ピロリ菌との関係も 鳥肌胃炎とは 症状や胃がんのリスクについて 健康ぴた

暖心 四年一遇大雪瘫痪东京 多睦健康风雪无阻准时接送 多睦健康海外医疗

暖心 四年一遇大雪瘫痪东京 多睦健康风雪无阻准时接送 多睦健康海外医疗

沒有胃腸鏡的體檢都是耍流氓 體檢沒事 25歲姑娘查出胃癌 醫學界 微文庫

沒有胃腸鏡的體檢都是耍流氓 體檢沒事 25歲姑娘查出胃癌 醫學界 微文庫

鳥肌胃炎 人気記事 一般 アメーバブログ アメブロ

鳥肌胃炎 人気記事 一般 アメーバブログ アメブロ

鳥肌実 Torihada Minoru Japanese Comedian 鳥肌実 鳥肌

鳥肌実 Torihada Minoru Japanese Comedian 鳥肌実 鳥肌

胃カメラ結果 鳥肌が 涙 キモチ の もんだい

胃カメラ結果 鳥肌が 涙 キモチ の もんだい

Source : pinterest.com